オフィス・ホワイトニングの効果

天然の歯を白くする術式を
ホワイトニング、と言います。
オフィス・ホワイトニングと
ホーム・ホワイトニングがあり、
それぞれ特徴がありますが
最近はオフィスをやってから、
ホームをやる、といった
デュアルホワイトニングを
なさる方も多くなってきました。
ホワイトニングの相談を受けているときに
非常に高頻度でおっしゃられる心配事項として
「○○選手みたいに真っ白になったら困る」
というものがあります。
明らかに不自然に白い歯の方は
ホワイトニングではなく
歯を削って真っ白い歯をかぶせていることが
多いです。
ホワイトニングも繰り返せば
かなり白くはなりますが
異常な白さには
なりません。
ですので
白くなりすぎて困るのでは、
というご心配は不要かと思われます。
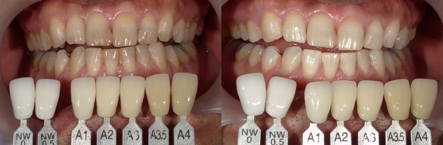
ご参考までにホワイトニング前後の
写真をアップします。
50代男性でオフィスホワイトニングをした方の
術前、術後です。
スマホの方は画面を横にして比較していただけると
比較しやすいかと
およそ色見本のA4くらいだった色が
A1~2くらいになっているのが
お分かりいただけると思います。
色も変わりますが、
明るさはもっと変わりますので
スマイル時の清潔感や
笑顔の明るさが
変わってきます。
もうちょっと白くしたい、
という事でしたら、
この後にホームホワイトニングを追加するのが
いいと思います。
ホームホワイトニングは
こちらで皆様のお口に合った専用トレーを作って
ご自宅でホワイトニングしていただきます。
トレーが作ってあれば
ホワイトニング剤は当院に買いに来てくだされば
納得するまで
ホワイトニングを継続することもできます。